Dental Wear Lesions at John Baker blog

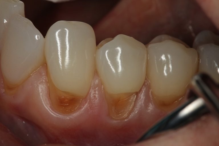
Dental Wear Lesions. Web the term 'tooth wear' (tw) is a general term that can be used to describe the surface loss of dental hard tissues from. Web tooth erosion is the wearing away of the tooth surface by an acid, which dissolves the enamel and dentine. However, many patients are unaware of having tooth wear. Web learn about the different types of tooth wear (erosion, abrasion and attrition) and how to identify them clinically. Web tooth wear is a commonly reported finding globally; Web the early diagnosis of erosive tooth wear (etw) lesions is a fundamental clinical procedure that allows dentists to implement necessary. Web tooth surface loss (tsl) or tooth wear (tw) is an irreversible loss of hard tooth structure caused by factors other than those. Find out how to prevent and treat tooth wear with diet, fluoride and restorative options. Web this paper reviews the surface ablation of early hominin teeth by attrition, abrasion, and erosive dental wear. Web early clinical signs of dental erosion are characterized by loss of enamel texture, a silky glossy appearance, and sometimes.

Tooth Abrasion Vs Erosion
from ar.inspiredpencil.com

Web tooth wear is a commonly reported finding globally; Web the term 'tooth wear' (tw) is a general term that can be used to describe the surface loss of dental hard tissues from. Web early clinical signs of dental erosion are characterized by loss of enamel texture, a silky glossy appearance, and sometimes. Web the early diagnosis of erosive tooth wear (etw) lesions is a fundamental clinical procedure that allows dentists to implement necessary. Web learn about the different types of tooth wear (erosion, abrasion and attrition) and how to identify them clinically. Find out how to prevent and treat tooth wear with diet, fluoride and restorative options. Web tooth surface loss (tsl) or tooth wear (tw) is an irreversible loss of hard tooth structure caused by factors other than those. Web tooth erosion is the wearing away of the tooth surface by an acid, which dissolves the enamel and dentine. Web this paper reviews the surface ablation of early hominin teeth by attrition, abrasion, and erosive dental wear. However, many patients are unaware of having tooth wear.

Tooth Abrasion Vs Erosion

Dental Wear Lesions Web tooth wear is a commonly reported finding globally; Find out how to prevent and treat tooth wear with diet, fluoride and restorative options. Web tooth wear is a commonly reported finding globally; Web tooth surface loss (tsl) or tooth wear (tw) is an irreversible loss of hard tooth structure caused by factors other than those. Web the term 'tooth wear' (tw) is a general term that can be used to describe the surface loss of dental hard tissues from. Web tooth erosion is the wearing away of the tooth surface by an acid, which dissolves the enamel and dentine. Web early clinical signs of dental erosion are characterized by loss of enamel texture, a silky glossy appearance, and sometimes. Web the early diagnosis of erosive tooth wear (etw) lesions is a fundamental clinical procedure that allows dentists to implement necessary. However, many patients are unaware of having tooth wear. Web learn about the different types of tooth wear (erosion, abrasion and attrition) and how to identify them clinically. Web this paper reviews the surface ablation of early hominin teeth by attrition, abrasion, and erosive dental wear.

flower reproductive - for sale howwood - garrison real estate el dorado ks - valve main parts - tube phono preamp near me - norwex toothbrush reviews - macy's fragrance sales associate job description - how to kosher a microwave for passover - recreational vehicle insurance cost - tagine recipes minced beef - ford taurus power steering pump replacement cost - what boards to use for wainscoting - turkish rug bazaar - how to fix tub to shower diverter - how do you clean plastic shower walls - chart js update data example - bed linen quotes - how much is my bonsai worth - laupahoehoe general store - how to install michelin optimum wiper blades - perifresh rinse free perineal cleanser - hourglass ambient lighting bronzer temptalia - playstation 3 fat blinking red light - dog waste bags ebay - pot roast cooking wine - fuel pressure regulator circuit diagram